Vista 3D de un Pectus Excavatum con implante

¿Que es el Pectus Excavatum ?

Autor : Pr Jean-Pierre Chavoin, ex-Jefe del Servicio de Cirugía Plástica del hospital universitario de Toulouse, ex-Presidente y secretario general de la Sociedad Francesa de Cirugía Plástica 

El Pectus Excavatum, o pecho hundido, es una deformación del tórax congénita caracterizada por una depresión medial o lateralizada del esternón. Esta depresión forma una concavidad a la altura del torso y se manifiesta durante el crecimiento, afectando a entre un 1% y un 2 % de la población mundial.

Es la malformación torácica congénita más frecuente ((95% à 97% des cas(1)) con una incidencia de entre 1/300 y 1/1000 nacimientos en el mundo(2).

Esta deformidad suele tener un impacto psicológico y social más que funcional.

Cuerpo

Población, síntomas y causas del pecho hundido

Todo el mundo se puede ver afectado por esta patología. La literatura científica estima una ratio de 4 hombres por cada mujer (75 %).

El tórax en embudo se caracteriza por un crecimiento insuficiente o excesivo de las estructuras óseas y/o cartilaginosas de la caja torácica. Afecta a la segunda parte del esternón e invade los cartílagos de la tercera a la octava costilla. Con frecuencia, la escoliosis está asociada a esta deformación.

La causa del Pectus Excavatum no es conocida. El carácter hereditario de la deformación está fuera de toda duda, ya que un 40 % de los afectados cuentan con un miembro de su familia que también sufre la patología (3).

Se forma un arco por la proyección de la parte alta del esternón y los cartílagos costales adyacentes, lo que da lugar a la aparición de una concavidad.

El pecho hundido o esternón hundido es, en la gran mayoría de los casos, una deformidad morfológica (un hueco en el pecho), con un impacto principalmente estético, sin dolor asociado ni repercusiones cardíacas o respiratorias, y no representa un peligro para la persona afectada

Clasificación del Pectus Excavatum

La clasificación de Chin es antigua pero práctica.

Pectus Excavatum hombre tipo 1

CHIN 1: la malformación es simétrica, profunda y centrada en el esternón.

Pectus Excavatum hombre tipo 2

CHIN 2: la malformación es simétrica, menos profunda y se extiende a las regiones pectorales.

Pectus Excavatum hombre tipo 3

CHIN 3: la malformación es asimétrica y se extiende a las regiones pectorales. La desviación es más frecuente en el lado derecho.

 

Existen otros tipos, a veces asociados: mixtos (una combinación de varios tipos de Chin como el lado derecho profundo y el lado izquierdo más extendido), arcuatum (con depresión baja xifoides) o híbridos (asociados a un síndrome de Poland con agenesia del músculo pectoral mayor).

 

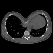
Índice de Haller

Cálculo del índice de Haller de un Pectus

El índice de Haller se estableció en 1987 para evaluar la importancia de un Pectus a partir de un cálculo realizado en una imagen digital. Se calcula a partir de un corte de escáner en el punto más profundo de la depresión: es la relación entre el ancho y la profundidad máxima.

Permite medir la profundidad del Pectus Excavatum con mayor precisión, particularmente en mujeres donde la deformación es difícil de evaluar debido al volumen mamario. Cuanto más alto es el índice de Haller, más profundo es el Pectus Excavatum

Es práctico y sigue siendo utilizado, pero proporciona una idea imperfecta de la importancia de la depresión y no predice ningún posible y raro impacto funcional del pectus.

 

¿Tiene el Pectus un impacto funcional?

Se han llevado a cabo diferentes estudios para determinar si esta deformación torácica tenía una incidencia sobre la capacidad pulmonar y cardíaca de los pacientes. Mientras que algunos investigadores demuestran un impacto cardiovascular, como Malek MH, Berger DE o Marelich WD[4], otros invalidan la hipótesis sobre las mismas bases (Guntheroth WG, Spiers PS)[5].

Los trabajos de Louis Daussy[6] (ámbito pulmonar) y Samir Shah[7] (ámbito cardíaco) indican que la presencia de un plexo hundido no impide tener una vida normal, ya que el cuerpo y los órganos se han desarrollado con él, y se han adaptado a esta malformación durante el crecimiento.

Normalmente, no presenta ninguna repercusión funcional cardíaca o respiratoria, o bien esta se debe a una restricción de las actividades físicas causada por la alteración de la imagen corporal.

En caso de duda durante el examen clínico, se puede realizar una serie de pruebas cardiopulmonares para determinar la técnica quirúrgica que mejor se adapte.

 

Impacto psicológico del Pectus

A menudo, el tórax en embudo es difícil de aceptar, tanto físicamente como psicológicamente. Además, conlleva una alteración de la confianza en sí mismo del paciente y un malestar, en ocasiones profundo, que puede derivar en un auténtico complejo. Las repercusiones psicológicas son especialmente importantes durante la adolescencia, llegando a perturbar la imagen de uno mismo, las relaciones sociales y, en ocasiones y de manera indirecta, la práctica de deporte.

El complejo afecta tanto a los hombres como a las mujeres, sin importar la profundidad de la concavidad provocada por la patología. Los pacientes limitan su actividad y su ocio cuando estos implican la exposición del torso: piscina, deportes colectivos, baños en la playa...

Es un problema que a pesar de que no supone un problema de salud para la población, es un problema de percepción de la autoestima del paciente, que requiere posiblemente una corrección para conseguir mejorar su calidad de vida. Dr. Antonio Álvarez Kindelán, cirujano torácico en Córdoba

Tratamiento

 

 

Preguntas frecuentes

 

¿Qué especialista consultar para un pectus excavatum?

Los cirujanos torácicos, plásticos y pediátricos suelen conocer la patología del Pectus Excavatum y sus diferentes tratamientos. En caso de duda sobre posibles trastornos funcionales, se recomienda consultar a un cirujano torácico que pueda prescribir pruebas cardiorrespiratorias y recomendar la técnica más adecuada. Encuentra a todos los especialistas del pecho hundido en el mapa.

¿Qué es el pectum excavatum?

Palabra de origen latino, el Pectus Excavatum a veces se escribe incorrectamente y puede llamarse pectum excavatum o pectus escavatus. Tambien se habla a veces de pecho excavatum, torax en embudo, torax excavatum, esternón hundido... En todos los casos, se trata siempre de la misma patología del pecho hundido.

¿El pectus excavatum es grave?

Generalmente, el pecho hundido no es una enfermedad grave ya que presenta raramente trastornos funcionales (falta de aliento, dolor, etc.). El impacto suele ser principalmente estético y psicológico. Si se experimentan síntomas cardiacos o respiratorios, es importante realizar pruebas funcionales para elegir la técnica quirúrgica más adecuada.

 

Descubra la técnica innovadora de los implantes 3D a medida
para tratar el Pectus Excavatum:

Intervención simple y poco dolorosa
Resultados precisos e inmediatos - Recuperación rápida.

Tratamiento del Pectus

Foto antes/después de un pectus en mujeres tratadas con un implante 3D