Lorsqu’on envisage une opération du pectus excavatum, la première question n’est pas “quelles techniques existent ?”, mais plutôt : quel est mon problème et quelle chirurgie est adaptée à ma situation ?
Entre la technique semi-fermée de Nuss, la méthode ouverte de Ravitch et les implants 3D sur-mesure, le choix dépend de plusieurs critères médicaux et personnels.
Faut-il toujours se faire opérer d’un pectus ?
Le pectus excavatum, sous toutes ses formes, est fréquent : il concerne environ 1 naissance sur 500. Dans la majorité des cas, il est peu ou pas symptomatique, et tous les patients ne souhaitent pas nécessairement être opérés.
L’indication opératoire repose donc principalement sur deux grands critères :
- un retentissement fonctionnel, avec insuffisance cardiaque ou respiratoire authentifiée au repos ou à l’effort ;
- un retentissement esthétique et psychologique important, avec trouble de l’image de soi et des relations sociales.
En cas de doute sur l’impact fonctionnel du pectus, la première étape est une évaluation clinique précise afin de déterminer si les troubles cardiaques ou respiratoires justifient une correction structurelle plus invasive.
Évaluation cardiaque
L’échocardiographie thoracique est l’examen dynamique de première intention pour évaluer l’impact cardiaque d’un pectus excavatum.
Son objectif est de rechercher :
- une compression du ventricule gauche ;
- d’évaluer la fonction systolique et diastolique ;
- d’analyser le remplissage cardiaque ;
- de rechercher une éventuelle anomalie valvulaire associée, comme un prolapsus mitral.
Il s’agit d’un examen dynamique, non invasif, accessible et reproductible. C’est l’examen cardiaque de base pour documenter un éventuel retentissement cardiaque, au repos ou à l’effort.
L’IRM cardiaque permet quant à elle d’analyser l’impact anatomique et fonctionnel du thorax en entonnoir sur le cœur, mais elle reste un examen statique, à l’image d’un scanner.
Évaluation respiratoire
Le TECR (Test d’Évaluation Cardio-Respiratoire) est l’examen le plus sensible et le plus discriminant pour évaluer le retentissement fonctionnel d’un pectus excavatum.

Son utilité est toutefois discutée par certains auteurs. Gonzalez et al.(1) concluent ainsi dans Pediatric Surgery International que les patients ayant réalisé des tests de fonction pulmonaire ne différaient pas significativement de ceux ne les ayant pas réalisés pour la plupart des mesures structurelles et fonctionnelles de la déformation et de la fonction cardiopulmonaire.
Par ailleurs, les personnes qui pratiquent peu ou pas d’activité physique peuvent être plus essoufflées, non pas directement à cause du pectus, mais du fait d’un déconditionnement lié à la limitation de leur activité. On parle alors de déficit périphérique lié à une pathologie.
Dans quels cas opter pour une opération osseuse ou orthopédique ?
La technique de Nuss : pour quelles situations ?
La technique de Nuss(2) est une chirurgie thoracique consistant à placer une ou plusieurs barres métalliques courbes entre le cœur et le sternum afin de repousser la paroi thoracique et de corriger la forme du thorax osseux. Elle est pertinente chez les jeunes adultes lorsque la déformation sternale est centrée, symétrique et provoque un réel retentissement fonctionnel.

Caractéristiques de la technique semi-fermée avec endoscopie :
- incisions cutanées latérales de petite taille, d’environ 5 cm de chaque côté du thorax ;
- introduction d’une ou plusieurs barres métalliques courbes préformées sous contrôle optique derrière le sternum, près du cœur ;
- mise en place parfois de plusieurs barres parallèles ou croisées ;
- rotation de 90° pour exercer une poussée antérieure sur le sternum et les côtes ;
- fixation éventuelle aux côtes par sutures ou stabilisateurs ;
- retrait de la barre 2 à 3 ans après l’implantation.
L’opération dure en général 1 à 2 heures et l’hospitalisation entre 4 et 7 jours.
La technique de Nuss repose sur la capacité du thorax à être remodelé par une contrainte mécanique progressive. Elle est donc plus favorable chez des patients jeunes, dont la cage thoracique est encore souple. Avec l’âge, la rigidité sterno-costale augmente, rendant la correction plus contraignante et associée à des suites opératoires plus douloureuses ainsi qu’à un taux de complications plus élevé. Plusieurs travaux ont montré que les résultats chez l’adulte sont moins favorables que chez l’adolescent, notamment en termes de douleur post-opératoire et de complications (Pilegaard HK, Annals of Cardiothoracic Surgery, 2016(3)).
Avantages et inconvénients du Nuss
La technique de Nuss n’implique pas de résection cartilagineuse, permet un redressement progressif du thorax et laisse des cicatrices latérales généralement moins visibles.
Néanmoins, elle implique des douleurs post-opératoires, deux interventions chirurgicales et un geste intrathoracique délicat. Les créateurs de la technique reconnaissent eux-mêmes la possibilité de risques majeurs lorsque celle-ci n’est pas parfaitement maîtrisée, même si ces complications deviennent rares avec l’expérience du chirurgien.
Ces risques sont également évoqués par les défenseurs des techniques ouvertes. De Wolf et al.(4) rappellent ainsi que la morbidité et la mortalité cardiovasculaires liées à la réparation mini-invasive par barre de Nuss semblent plus sévères que celles observées lors de la chirurgie ouverte.
Le MIRPE (Minimally Invasive Repair of Pectus Excavatum(5)) implique en effet le passage d’une barre métallique derrière le sternum, dans un espace anatomique très proche du cœur et des poumons, ce qui représente un risque potentiellement grave, voire vital, bien que rare.
En outre, le bénéfice fonctionnel n’est pas systématiquement démontré. Castellani et al.(6) indiquaient déjà en 2010 que, selon leurs données, la réparation du pectus n’était pas suivie d’une amélioration de la fonction pulmonaire ni des performances à l’effort. Del Frari et al.(7) en 2022, puis Dupuis et al.(8) en 2024, vont dans le même sens en ne retrouvant pas d’amélioration significative des paramètres cardiopulmonaires et de la capacité à l’effort après pose puis retrait de la barre.
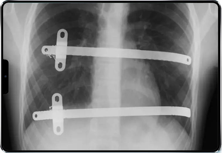
La technique de Ravitch : dans quels cas ?
La technique de Ravitch(9) est une chirurgie thoracique ouverte de remodelage structurel immédiat. Elle est indiquée pour les déformations thoraciques complexes, asymétriques, associées à d’autres anomalies costales, avec retentissement fonctionnel, notamment chez l’adulte.
La technique de Ravitch, bien que réalisable à tout âge, est souvent indiquée chez des patients plus âgés ou présentant des déformations complexes, en raison de la rigidité thoracique qui limite l’efficacité des techniques mini-invasives. Toutefois, chez l’adulte, cette chirurgie reste invasive et associée à une morbidité non négligeable, liée notamment à la résection cartilagineuse et à la stabilisation osseuse. Le choix de cette technique dépend donc fortement de l’âge, de la rigidité thoracique et de la complexité de la déformation (Fonkalsrud EW, Annals of Surgery, 2000(10)).

Ses caractéristiques sont les suivantes :
- incision antérieure large, souvent sous-mammaire ou médiane ;
- décollement des muscles pectoraux ;
- résection des cartilages costaux déformés et section du sternum ;
- repositionnement du sternum en position anatomique ;
- stabilisation par barres et vis d’ostéosynthèse ;
- retrait de la barre 2 à 3 ans après l’implantation.
L’opération dure en général 2 à 3 heures et l’hospitalisation entre 5 et 7 jours.
Avantages et inconvénients du Ravitch
La technique de Ravitch permet un remodelage direct du thorax et réduit le risque de blessure cardiaque par rapport au passage rétrosternal de la barre de Nuss. Elle peut être particulièrement utile lorsque le pectus présente un retentissement cardiaque ou pulmonaire et s’associe à d’autres pathologies thoraciques, comme une torsion des cartilages, une hypertrophie cartilagineuse ou une hypoplasie costale.
Toutefois, il s’agit d’une chirurgie plus lourde (2 temps opératoires) et invasive, avec une altération musculaire importante et donc un temps de récupération et des douleurs post-op .
Par ailleurs, le système de stabilisation thoracique après correction peut lui aussi s’avérer défaillant. Berthet et al.(11) décrivent ainsi des complications de rupture, de déplacement ou de fracture des barres. Sharma et al.(12) expliquent que les contraintes mécaniques répétées liées à la respiration, telles que la traction, la compression ou la torsion, peuvent provoquer une fatigue du matériel et conduire à sa fracture.
Les auteurs signalent également une libération de particules de titane dans l’organisme, pouvant entraîner une métallose. Ces défaillances peuvent représenter un danger pour les organes vitaux et justifient une surveillance étroite du patient opéré.
L’implant 3D sur-mesure : l’alternative
Lorsque le thorax en entonnoir est principalement une gêne esthétique, une solution moins invasive peut être envisagée : le comblement par implant 3D sur-mesure en gomme de silicone, conçu à partir d’un scanner 3D. Cette solution s’adresse aux déformations sans contexte fonctionnel majeur mais responsables d’un inconfort psychologique et social important.

- pas de modification structurelle de la cage thoracique ;
- solution adaptée aux patients de 15 à 70 ans ;
- convient aux formes symétriques comme asymétriques ;
- suites opératoires généralement plus simples et moins douloureuses ;
- une seule intervention ;
- comblement immédiat et total du creux ;
- implant non dégradable définitif ;
- solution possible en reprise d’échecs d’autres techniques.
L'opération dure en général 1 heure, avec une sortie soit le jour même, soit le jour suivant. La reprise du travail se fait 15 jours après l'opération et la reprise du sport 3 mois après (1 an pour les sports impliquant plus les pectoraux).
Avantages et inconvénients de l'implant 3D
L'implant 3D est donc une technique de chirurgie moins invasive, sans ouverture thoracique et donc loin du coeur. Une seule intervention est nécessaire et apporte un résultat immédiat après un temps opératoire court et des suites post-op simples et soulagées par de simples antalgiques.
C'est aussi la technique à privilégier pour corriger les résultats de correction de Pectus imparfaits, qu'on appelle les reprises. Chavoin et al.(13) explique que la technique reposant sur un comblement du défaut et non un remodelage de la cage thoracique, elle peut être proposée aussi bien aux adultes qu'aux adolescents en fin de croissance, sans augmentation spécifique du risque liée à l’âge. Elle constitue ainsi une alternative particulièrement pertinente chez les patients adultes, chez qui les techniques osseuses sont plus contraignantes ou moins bien tolérées.
Cette approche vise à corriger le creux visible par un comblement précis et immédiat, sans chirurgie thoracique lourde. Elle est adaptée à de nombreux types de déformations(14) : pectus léger, pectus arcuatum, formes asymétriques, déformations profondes, chez l’homme comme chez la femme, à partir de la fin de la puberté. Il n’existe pas de limite d’âge stricte si le patient est en bon état de santé général.
Il faut toutefois apporter la précision qu'en cas d'éventuel retentissement fonctionnel cardiaque ou respiratoire, la technique des implants ne corrige pas la structure osseuse du thorax. Elle est indiquée principalement dans les formes esthétiques et nécessite une analyse rigoureuse en amont pour poser la bonne indication.
Comment choisir la bonne chirurgie ?
Le choix de l’opération dépend avant tout de la présence ou non de symptômes fonctionnels objectivés.
Comme en témoigne Bastien L., ancien patient du Pr Chavoin, ancien chef de service de chirurgie plastique au CHU de Toulouse, il n’existe pas une seule “meilleure” opération. Il existe surtout une bonne indication pour un bon patient.
“J'ai essayé la musculation des pectoraux mais cela n'a pas donné d'amélioration.
J'ai donc effectué des recherches sur les différentes techniques chirurgicales, comme la sterno-chondroplastie, mais la plupart me paraissaient trop lourdes, avec trop de risques et trop de temps d'hospitalisation et de convalescence pour un but esthétique.
La chirurgie par prothèse du Dr Chavoin était pour moi la meilleure solution et la plus raisonnable.”
Conclusion
Si la déformation entraîne une réelle gêne cardiaque ou respiratoire, une chirurgie thoracique comme la technique de Nuss ou de Ravitch peut être indiquée. Cette gêne doit être confirmée par des examens appropriés réalisés dans un centre indépendant de cardiologie ou d’exploration fonctionnelle respiratoire. Compte tenu de la complexité de ces interventions, le choix d’un chirurgien très expérimenté est essentiel.
Si l’objectif est principalement esthétique, une correction par implant 3D sur-mesure constitue une alternative efficace et moins invasive.
Une consultation spécialisée permet d’évaluer précisément la solution la plus adaptée. N’hésitez pas à consulter un chirurgien référent, plasticien, thoracique ou pédiatre, après avis de votre médecin traitant.

