Pectus Excavatum

Che cos'è il Petto Escavato ?

Autore: Pr Jean-Pierre Chavoin, ex-capo del Reparto chirurgia plastica dell'ospedale universitario di Tolosa, ex-Presidente e Segretario generale della Società Francese di Chirurgia Plastica

Il petto escavato è una malformazione del torace caratterizzata da una depressione mediana o laterale dello sterno. Si tratta di una depressione che forma una concavità all'altezza del tronco e si manifesta durante la crescita, interessando tra l'1% e il 2% della popolazione mondiale.

È la malformazione toracica congenita più comune (dal 95% al ​​97% dei casi(1)) con un'incidenza compresa tra 1/300 e 1/1000 nati nel mondo(2). Questa deformazione ha più spesso un impatto psicologico e sociale che funzionale.

Corpo

Popolazione, sintomi e cause del torace a imbuto

Tutti possono essere colpiti da questa patologia. La letteratura scientifica stima un rapporto di 4 uomini per ogni donna (75%). Il Pectus è caratterizzato da una crescita insufficiente o eccessiva delle strutture ossee e/o cartilaginee della gabbia toracica. Colpisce la seconda parte dello sterno e invade le cartilagini dalla terza all’ottava costola. La scoliosi è spesso associata a questa deformazione.

La causa del Pectus Excavatum non è nota. La natura ereditaria della deformità è indubbia, poiché il 40% delle persone colpite ha un familiare che soffre della stessa patologia(3).

Lo sterno infossato è nella grande maggioranza dei casi una deformazione morfologica (infossamento del tronco), di impatto essenzialmente estetico, senza dolore associato o ripercussioni cardiache o respiratorie, e non rappresenta alcun pericolo per la persona interessata.

Classificazione pectus excavatum

La classificazione di Chin è antica ma pratica. I medici specialisti utilizzano la classificazione di Chin e l'indice di Haller per caratterizzare i diversi tipi di sterno incavato.

Pectus Excavatum di tipo 1 nell'uomo

CHIN 1: la malformazione è simmetrica, profonda e orientata sullo sterno.

Pectus Excavatum di tipo 2 nell'uomo

CHIN 2: la malformazione è simmetrica, meno profonda e si estende alle regioni pettorali.

Pectus Excavatum di tipo 3 nell'uomo

CHIN 3: la malformazione è asimmetrica e si estende alle regioni pettorali. La deviazione è più spesso sul lato destro.

 

Esistono altri tipi talvolta associati: misti (combinazione più tipologie della classificazione di Chin come il lato destro profondo e il lato sinistro più esteso), arcuatum (con bassa depressione xifoide) o ibridi (associati alla sindrome di Poland con agenesia del muscolo grande pettorale).

 

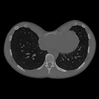
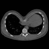
Indice di Haller

Disegno di Pectus Excavatum tipo 3

L'indice di Haller è stato istituito nel 1987 per valutare l'importanza di un Pectus sulla base di un calcolo effettuato su un'immagine digitale.

Viene stabilito tramite TAC nel punto più profondo della depressione: è il rapporto tra la larghezza e la profondità massima.

L'indice di Haller permette di misurare con maggiore precisione la profondità del petto escavato specialmente nelle donne, nelle quali la deformazione è difficile da valutare a causa del volume mammario. Quanto più l'indice di Haller è alto tanto più il Pectus Excavatum è profondo.

È pratico e ancora utilizzato, ma dà un'idea imperfetta dell'importanza della depressione e non pregiudica in alcun modo un possibile e raro impatto funzionale sul petto.

 

Il Pectus ha un impatto funzionale?

Sono stati condotti diversi studi per determinare se questa deformazione toracica abbia un impatto sulla capacità polmonare e cardiaca dei pazienti. Mentre alcuni ricercatori dimostrano un impatto cardiovascolare, come Malek MH, Berger DE o Marelich WD(4), altri invalidano l'ipotesi per lo stesso motivo (Guntheroth WG, Spiers PS)(5).

Gli scritti di Louis Daussy(6) (area polmonare) e Samir Shah(7) (area cardiaca) indicano che la presenza di un plesso infossato non impedisce la vita normale, poiché il corpo e gli organi si sono sviluppati con esso e si sono adattati a questa malformazione durante la crescita.

Normalmente, non ha alcun impatto funzionale cardiaco o respiratorio, o questo è dovuto a una restrizione delle attività fisiche causata da un'immagine corporea alterata.

In caso di dubbi durante l'esame clinico, è possibile eseguire una serie di test cardiopolmonari per determinare la tecnica chirurgica più adatta.

 

Impatto psicologico del Pectus

Il torace a imbuto è spesso difficile da accettare, sia fisicamente che psicologicamente. Inoltre, porta a un'alterazione della fiducia in se stessi da parte del paziente e a un disagio, a volte profondo, che può determinare un vero e proprio complesso. Le ripercussioni psicologiche sono particolarmente importanti durante l'adolescenza e possono disturbare l'immagine di sé, le relazioni sociali e, a volte e indirettamente, la pratica dello sport.

Il complesso colpisce sia gli uomini che le donne, indipendentemente dalla profondità della concavità causata dalla patologia. I pazienti limitano la loro attività e il loro tempo libero quando questi comportano l'esposizione del torso: piscina, sport di gruppo, bagni in spiaggia...

Trattamento

 

 

Domande frequenti

A quale specialista rivolgersi in caso di pectus excavatum?

I chirurghi toracici, plastici e pediatrici hanno spesso familiarità con la patologia del buco nel petto e i suoi diversi trattamenti. In caso di dubbi su eventuali disturbi funzionali si consiglia di consultare un chirurgo toracico che potrà prescrivere esami cardio-respiratori e consigliare la tecnica più idonea. Trova tutti gli specialisti del torace a imbuto sulla mappa.

Cos'è il pectus escavatum?

Parola di origine latina, Pectus Excavatum è talvolta scritta in modo errato e può essere chiamata pectus escavatum, pectum excavatum o anche petto excavatum. In tutti questi casi si tratta della patologia del petto scavato.

Il pectus excavatum è grave?

Il torace a imbuto in genere non è una patologia grave poiché molto raramente presenta disturbi funzionali (fiato corto, dolore...). L’impatto è spesso estetico e psicologico. Se si avvertono sintomi cardiaci o respiratori, è importante effettuare test funzionali per scegliere la tecnica chirurgica più idonea.

 

Scopri la tecnica innovativa degli impianti 3D su misura per
trattare il Pectus Excavatum:

Intervento semplice e poco doloroso
Risultati precisi e immediati - Rapido recupero

Trattamento del Pectus

Foto prima/dopo di un petto in donne trattate con un impianto 3D