Case presentation
A 17-year-old patient initially consulted for a breast asymmetry that was disturbing her to choose clothes. She noticed that her right breast was smaller than her left breast and was looking for a mammary augmentation.

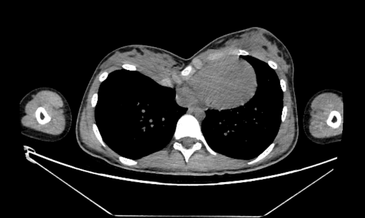
During the examination, we observe indeed, an asymmetry of the breast projection due to a pectus excavatum (right side). The right breast "falls" into the thoracic deformity, explaining the lack of volume. The patient also has a significant areolar dystopia. Furthermore, due to the skeletal deformity, the right areola steers inward.
The CT scan confirms the clinical diagnosis. Correcting the bone deformity should be enough to treat the lack of breast volume. Other conventional treatments such as breast implants augmentation or fat grafting are impossible or inappropriate.

Surgery
The patient agreed to treat the bone deformity first without the classical breast augmentation.
The Pectus Excavatum operation was performed according to Professor Chavoin’s procedure: pre-op drawing, medial approach, retropectoral dissection, no drain, day surgery.

Postoperative recovery was easy. Puncture of a 35ml subcutaneous seroma was performed on day 15. Result 3 months later : the patient is satisfied and has no more issue to get dressed. No pain was reported. Presence of hypoesthesia in the cranio-medial quadrant of the left breast.


Areolar dystopia persists, but does not bother her. The scar evolves favorably. No request for breast augmentation.
Conclusion
Note from Jean-Pierre Chavoin, Dr. Fyad’s trainer on the 3D implant technique:
Breast asymmetry is a common concern among young women and can impact their self-confidence and daily comfort. The misalignment of areolas, due to a sunken chest, contributes to the perception of an asymmetry, worsening the aesthetic aspect of the chest. It is recommended in this case, to correct the underlying cause, i.e., the thoracic malformation, to naturally improve the appearance of the chest.
Finally, the patient was not willing to get a breast augmentation as the 3D custom-made implant was sufficient to naturally project the chest, which is often the case in woman’s pectus excavatum.
Author
Dr. Fyad is a plastic surgeon in Lorraine, Nancy. He has a Complementary Specialized Studies Diploma (DESC) in plastic, aesthetic, and reconstructive surgery. He is also an experienced university lecturer and a surgeon at Nancy hospitals from 2001 to 2004.


