Pectus Excavatum

What is Pectus Excavatum?

Author : Pr Jean-Pierre Chavoin, ex-Head of Plastic Surgery Department of Toulouse University Hospital, ex-President and General Secretary of French Plastic Surgery Society

Pectus Excavatum is a malformation of the thorax characterised by a median or lateral depression of the sternum. Funnel chest occurs in 1 to 2% of the population. The deformity get more obvious during the growth.

It is the most common deformity of the thorax (95% to 97% of cases(1)) with between 1/300 to 1/1000 births concerned per year worldwide(2).

This deformity has mainly a psychological and social repercussion, rather than a functional impact.

Body

Population, symptoms and causes of Pectus Excavatum

Anyone can be affected by the condition. The scientific literature estimates that men are four times more likely to develop the condition than women. funnel chest is characterised by insufficient or excessive growth of the bony and/or cartilage structures of the rib cage. It affects the second part of the sternum from the third rib to the eighth rib. Scoliosis is often associated with the deformation.

The origin of Pectus Excavatum is not known. The hereditary nature of the deformation is clear, as some 40% of those affected have a family member with the same condition(3).

The sunken sternum is, in the vast majority of cases, a morphological deformity (hole in the chest), with essentially an aesthetic impact, without associated pain, cardiac or respiratory repercussions, and it does not represent a danger to the person concerned.

Classification of Pectus Excavatum

Chin's classification is old but practical. It categorizes the different types of Pectus Excavatum according to their morphological characteristics.

Type 1 Pectus Excavatum

CHIN 1: the malformation is symmetrical, deep and focused on the sternum.

Type 2 Pectus Excavatum

CHIN 2: the malformation is symmetrical, shallower and extends to the pectoral regions.

Type 3 Pectus Excavatum

CHIN 3: the malformation is asymmetrical and extends to the pectoral regions. The deviation is most often on the right side.

 

There are other types of sunken chest, sometimes associated: mixed (mix of several types of Chin like deep right side and a left side more extended), arcuatum (with a low xiphoid depression), or hybrids (associated with Poland syndrome with agenesis of the major pectoral muscle).

 

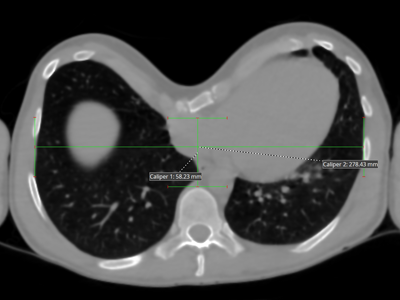
Haller index

Illustration of the calculation of the Haller index of a Pectus

The Haller index was established in 1987 to assess the scale of a Pectus based on a calculation made on a digital image. It is established from a CT scan at the level of the deepest point of the depression: it is the ratio of maximum width and depth.

The Haller index allows measurement of the defect and funnel depth especially in women where the deformation is hard to evaluate because of the breast volume. The higher the Haller index, the deeper the Pectus Excavatum.

It is practical and still used, but it gives an imperfect idea of the importance of the depression and does not prejudge any possible and rare functional impact of the concave chest.

 

Does Pectus have a functional impact?

Various studies have been conducted to determine whether this chest deformation affects patients' lung and heart capacities. While some researchers such as Malek MH, Berger DE and Marelich WD (4) have demonstrated a cardiovascular impact, others discount the hypothesis on the same bases (Guntheroth WG, Spiers PS)(5).

The works of Louis Daussy(6) (pulmonary) and Samir Shah(7) (cardiovascular) indicate that a sunken chest does not prevent a person from having a normal life. This is because the body and its organs develop alongside the condition and adapt to the malformation during growth.

Normally, the condition has no repercussion on cardiac or respiratory function, although this may be due to a restriction on physical activity caused by an altered body image.

If anything is uncertain during the clinical exam, a series of cardiopulmonary tests can determine the most appropriate surgical technique.

 

Psychological impact of Pectus Excavatum

Funnel chest is often difficult to accept both physically and psychologically. It also affects the patient's self-confidence and causes discomfort – sometimes profound – which can result in a complex. The psychological repercussions are especially important during adolescence, disrupting self-image and social relationships, and sometimes directly affecting the patient's ability to play sport.

The complex affects both men and women, regardless of the degree to which the condition causes the chest to sink. Patients limit activities and pastimes that involve exposing their chest, such as swimming, group sports and going to the beach...

Treatment

 

 

Frequently asked questions

Which specialist to consult for pectus excavatum or mild Pectus Excavatum?​

Thoracic, plastic and pediatric surgeons often know Pectus pathology and its different treatments. In case of doubt about potential functional disorders, it is recommended to consult a thoracic surgeon who can prescribe cardio-respiratory tests and advise the most suitable technique. Find all funnel chest specialists on the map.

What is plexus excavatum?

Having a latin origin, Pectus Excavatum is sometimes misspelled and can be called plexus excavatum, pectum excavatum, or even pectus excavatus. In all these cases, we are talking about the pathology of the sunken chest.

At what point pectus excavatum is serious?

Funnel chest is generally not a critical pathology since it rarely presents functional disorders (shortness of breath, pain...). The impact is mainly aesthetic and psychological. In case of perceived functional symptoms, it is important to perform functional tests to choose the most suitable surgical technique.

 

Discover the innovative technique of 3D custom-made implants
to treat Pectus Excavatum:

a simple surgery with low pain,
immediate and precise results, fast recovery.

Pectus Treatment

Before/after photo of a woman's pectus treated with a 3D implant